Fetal surgery firsts
The first open fetal surgery in the world was performed at UCSF in the early 1980s.

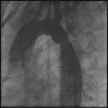
Coarctation of the aorta is a birth defect that causes a narrowing of the aorta, a blood vessel that carries blood from the heart to the rest of the body. When this condition occurs, blood flow to the lower part of the body is restricted, causing problems in blood circulation to organs such as the kidneys. The restricted blood vessel can also cause high blood pressure in the arteries that branch out from the aorta, including those in the arms and brain. This may increase risk for a stroke.
The left ventricle — one of the four chambers of the heart — may become swollen and weak due to the strain, causing one or more chambers of the heart to fail to keep up with the volume of blood flowing through them. This may result in congestive heart failure.
Mild cases of coarctation of the aorta may not produce symptoms until later in life. In babies with severe cases, however, signs and symptoms typically appear shortly after birth. The symptoms include:
Older children with coarctation of the aorta tend to have less severe narrowing of the aorta; thus, they often don't have symptoms. Your child's doctor may suspect a problem if he or she hears a distinctive murmur in your child's heart or if your child has high blood pressure in the arms and low pressure in the legs.
Other symptoms may include:
To diagnose coarctation of the aorta, your child's doctor will conduct a thorough examination. The doctor may recommend certain tests to make a definite diagnosis and rule out other conditions that cause similar symptoms. Tests may include:
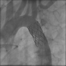
In the past, coarctation of the aorta repair involved heart surgery followed by five to seven days in the hospital for recovery. Today, heart specialists can correct coarctation in many patients without surgery, using a procedure called cardiac catheterization. In the procedure, a thin, flexible tube is threaded through a blood vessel to the heart, where it is used to insert a specially designed stent — a small, metal mesh tube — in the narrowed area of the aorta.
The catheterization and stent placement is performed in our Cardiac Catheterization Laboratory. The procedure takes about three to four hours. Your child will be admitted to the hospital the morning of the procedure and may return home the following morning.
To perform cardiac catheterization, a tiny incision is made in the groin to insert thin, flexible tubes, called catheters. The catheters are directed through blood vessels to the heart. Catheters can carry very small instruments or repair devices, such as a stent.
The size of the restricted aorta is measured and an appropriately sized stent, or expandable metal tube, is selected. Sometimes, more than one stent is needed for the repair. Occasionally there will be a weakening of the aortic wall, called an aneurysm, associated with the narrowing. In these cases, a fabric-covered stent may be used to repair both problems. If the narrowing is too close to the head and neck vessels, stent repair may not be possible. In these cases, surgical repair is necessary and will be scheduled for another time.
The stent is placed over a deflated balloon at the catheter's tip. When the balloon reaches the site of the narrowing, it is expanded to widen the artery. The stent is left in place to support the newly widened artery walls, and the catheter and balloon are withdrawn.
Complications during the procedure are unusual and most can be treated immediately. These include allergic reaction to X-ray dye requiring medication, aneurysm or bulge in a blood vessel, blood loss requiring a transfusion, and improper stent position requiring retrieval by catheter or surgery.
There is a small risk of blockage of the groin vessels used for catheterization, which ordinarily responds to medication. Although very rare, serious complications such as a tear in the aorta, requiring surgery or resulting in death, can occur. Complications after the procedure, such as breakage, movement or infection of the stent, are extremely rare.
After the procedure, your child will return to his or her hospital room with a large bandage on the groin that will be changed to a regular Band-Aid the next morning. Once fully awake — usually within two hours of the procedure — your child may drink clear liquids such as water or apple juice. If there are no problems with liquids, your child may then eat.
If there are no complications, your child will go home the next morning after a chest X-ray and blood pressure measurements. Your child will take aspirin daily for three months after the procedure to mildly thin the blood and help with healing.
Your child may resume regular, non-strenuous activities the next day. After seven days, your child may resume strenuous athletic activity and may lift more than 15 pounds.
Soreness and bruising of the skin at the groin site is common, and generally improves within three days. Keep the site dry and clean and change the Band-Aid daily. Showers or sponge baths are fine, but your child should not soak in a bathtub or swimming pool for one week. The skin punctures will heal in about five days.
Bleeding from the groin site after leaving the hospital is very uncommon. If it does occur, apply firm, constant pressure to the site for at least five minutes. Call your child's cardiologist if any of the following occur: bleeding, redness of the skin, green/yellow discharge, or temperature greater than 101° F.
If possible, delay any non-emergency dental procedures until six months after the stent repair. If a dental procedure is necessary within six months of the implant, your child should be given antibiotics to prevent infection, taken 30 minutes before the procedure. After six months, this is no longer needed.
All patients with coarctation of the aorta require lifelong follow-up. After stent repair, you should maintain close contact with your child's regular cardiologist and interventional cardiologist. Your child's specific follow-up schedule will be personalized; however, the schedule below applies to most patients after the procedure.
Check-up | 1 Week | 1 Month | 6 Months | 1 Year | 2 Years | 5 Years |
---|---|---|---|---|---|---|
Physical Exam | X | X | X | X | X | X |
Chest X-Ray | X | X | X | X | ||
EKG | X | X | X | X | X | |
Echocardiogram | X | X | X | |||
MRI or CT Scan | X | X | ||||
Four extremity blood pressures | X | X | X | X | X |
Patients with systemic hypertension will also need annual exams and blood pressure checks. Children who are still growing at the time of stent repair will need a repeat catheterization with balloon enlargement of the stent three years after the initial implant.
UCSF Benioff Children's Hospitals medical specialists have reviewed this information. It is for educational purposes only and is not intended to replace the advice of your child's doctor or other health care provider. We encourage you to discuss any questions or concerns you may have with your child's provider.
Best in Northern California for cardiology & heart surgery
Ranked among the nation's best in 11 specialties
Fetal surgery firsts