Karyotyping
Definition
Karyotyping is a test to examine chromosomes in a sample of cells. This test can help identify genetic problems as the cause of a disorder or disease.
Alternative Names
Chromosome analysis
How the Test is Performed
The test can be performed on almost any tissue, including:
Amniotic fluid - Blood
- Bone marrow
- Tissue from the organ that develops during pregnancy to feed a growing baby (placenta)
To test amniotic fluid, an
A
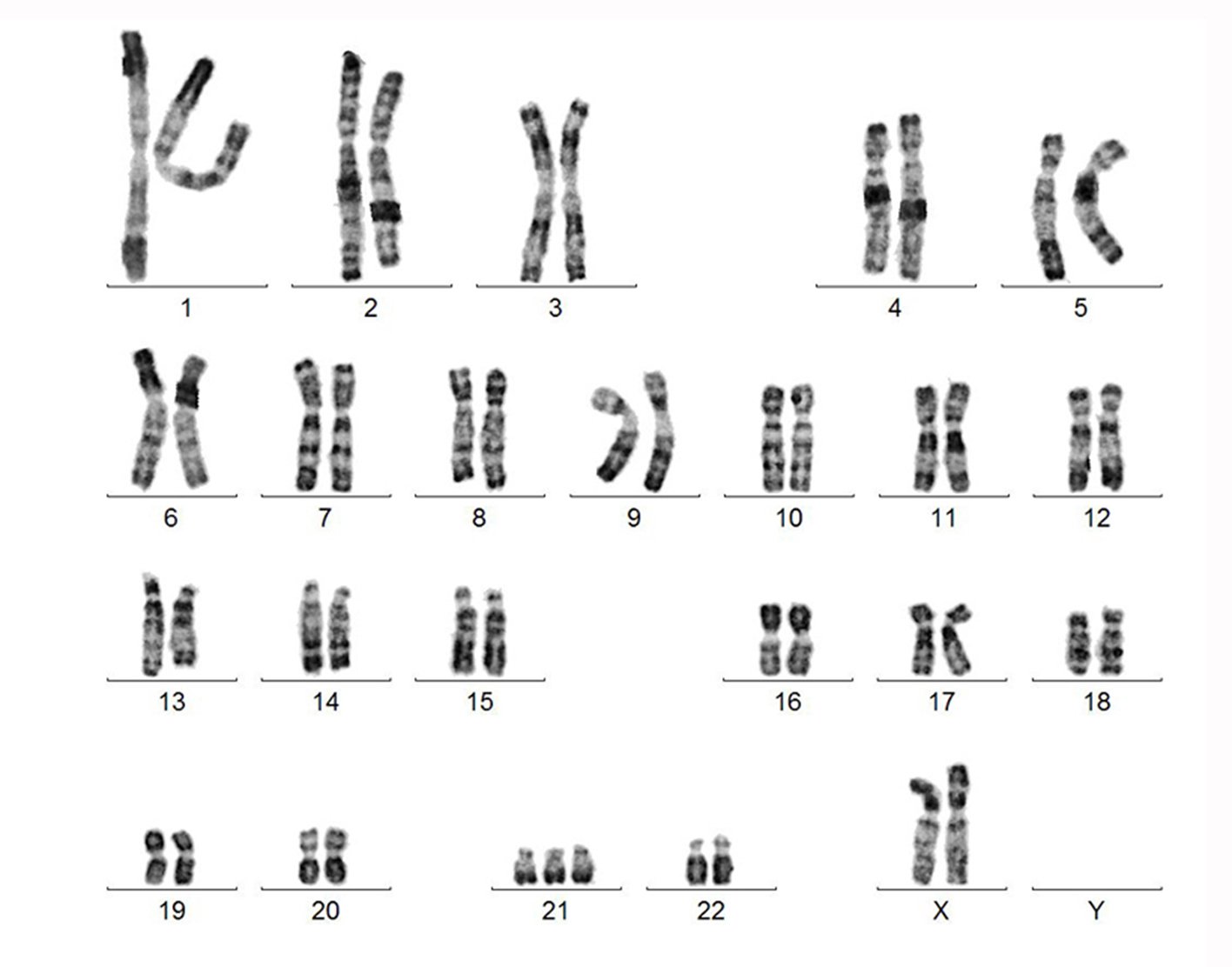
The sample is placed into a special dish or tube and allowed to grow in the laboratory. Cells are later taken from the new sample and stained. The laboratory specialist uses a microscope to examine the size, shape, and number of chromosomes in the cell sample. The stained sample is photographed to show the arrangement of the chromosomes. This is called a karyotype.
Certain problems can be identified through the number or arrangement of the chromosomes. Chromosomes contain thousands of genes that are stored in DNA, the basic genetic material.
How to Prepare for the Test
Follow the health care provider's instructions on how to prepare for the test.
How the Test will Feel
How the test will feel depends on whether the sample procedure is having blood drawn (
Why the Test is Performed
This test can:
- Count the number of chromosomes
- Look for structural changes in chromosomes
This test may be done:
- On a couple that has a history of miscarriage
- To examine any child or baby who has unusual features or developmental delays
The bone marrow or blood test can be done to identify the Philadelphia chromosome, which is found in 85% of people with
The amniotic fluid test is done to check a developing baby for chromosome problems.
Your provider may order other tests that go together with a karyotype:
- Microarray: Looks at small changes in the chromosomes
- Fluorescent in situ hybridization (FISH): Looks for small mistakes such as deletions in the chromosomes
Normal Results
Normal results are:
- Females: 44 autosomes and 2 sex chromosomes (XX), written as 46, XX
- Males: 44 autosomes and 2 sex chromosomes (XY), written as 46, XY
What Abnormal Results Mean
Abnormal results may be due to a genetic syndrome or condition, such as:
Down syndrome Klinefelter syndrome - Philadelphia chromosome
Trisomy 18 Turner syndrome
Chemotherapy may cause chromosome breaks that affect normal karyotyping results.
Risks
Risks are related to the procedure used to obtain the sample.
In some cases, a problem may occur in the cells growing in the lab dish. Karyotype tests should be repeated to confirm that an abnormal chromosome problem is actually in the body of the person.
References
Bacino CA, Lee B. Cytogenetics. In: Kliegman RM, St. Geme JW, Blum NJ, Shah SS, Tasker RC, Wilson KM, eds. Nelson Textbook of Pediatrics. 21st ed. Philadelphia, PA: Elsevier; 2020:chap 98.
Perle MA, Stein CH. Applications of cytogenetics in modern pathology. In: McPherson RA, Pincus MR, eds. Henry's Clinical Diagnosis and Management by Laboratory Methods. 24th ed. Philadelphia, PA: Elsevier; 2022:chap 71.
Review Date: 13/10/2022
The information provided herein should not be used during any medical emergency or for the diagnosis or treatment of any medical condition. A licensed physician should be consulted for diagnosis and treatment of any and all medical conditions. Call 911 for all medical emergencies. Links to other sites are provided for information only -- they do not constitute endorsements of those other sites. Copyright ©2019 A.D.A.M., Inc., as modified by University of California San Francisco. Any duplication or distribution of the information contained herein is strictly prohibited.
Information developed by A.D.A.M., Inc. regarding tests and test results may not directly correspond with information provided by UCSF Health. Please discuss with your doctor any questions or concerns you may have.
